 |
°ñÀýÀº ÁÖ·Î ±³Åë»ç°í³ª Ãß¶ô»ç°í, ±âŸ ¸ö¿¡ Ãæ°ÝÀ» ÁÖ´Â »ç°í¿¡ ÀÇÇÏ¿© »À¿¡ ¹°¸®Àû
º¯ÇüÀ» ÀÏÀ¸Å°´Â ÇüÅ·Π³ªÅ¸³³´Ï´Ù. °ñÀý¼ö¼úÀ̶õ ÀÌ·¯ÇÑ º¯ÇüµÈ »À¸¦ Á¤»óÀûÀ¸·Î Á¤º¹ÇÏ´Â ¼ö¼úÀ» ¸»ÇÕ´Ï´Ù. ´ëÇ¥ÀûÀÎ ¼ö¼úÀº ´ÙÀ½°ú °°½À´Ï´Ù. |
 |
|
< °ñ¹Ý°ñÀý°ú »çÁö°ñÀý¼ö¼ú > |
 |
|
¡ã ¼ö¼úÀü - õÀå°ñºÐ¸®¿Í ´ëÅð°ñµÎÅ»±¸ ´ëÅð°ñ°ñÀýÀÌ º¹ÇÕÀûÀ¸·Î µÈ °ñÀý¿¹ÀÔ´Ï´Ù. |
 |
|
¡ã ¼ö¼úÈÄ - 3°¡Áö °ñÀýÀ» ¼ö¼úÇÑ ÈÄÀÇ »çÁøÀÔ´Ï´Ù. |
 |
 |
|
¡ã ¼ö¼úÀü - ¾çÃø´ëÅð°ñÀÌ µ¿½Ã¿¡ °ñÀýµÈ ¿¹ÀÔ´Ï´Ù. |
 |
 |
|
¡ã ¼ö¼úÈÄ - ¾çÂÊ´ëÅð°ñ °ñÀý¼ö¼ú ÈÄ ¸ð½ÀÀÔ´Ï´Ù. |
 |
 |
|
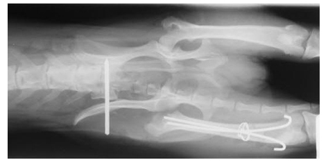
¡ã ¼ö¼úÀü - ÈçÈ÷ ÀϾ´Â ´ëÅð°ñ À©À§´Ü °ñÀýÀÔ´Ï´Ù. |
 |
 |
|
¡ã ¼ö¼úÈÄ - ´ëÅð°ñÀ©À§´Ü °ñÀýÀÇ ¼ö¼úÈÄ »çÁøÀÔ´Ï´Ù. |